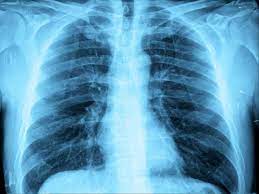
About White lung syndrome
- It originates from distinctive white patches on chest X-rays in affected children.
- The term includes various respiratory illnesses like acute respiratory distress syndrome, pulmonary alveolar microlithiasis, and silica-related conditions.
- Causes: It is believed to be caused by a combination of bacterial, viral, and environmental factors.
- Signs and symptoms
- The patients have symptoms including cough, fever, runny nose, phlegm pileup in sinuses, difficulty breathing and fatigue.
- Treatment
- The treatment is mainly focused on addressing the symptoms of pneumonia and ensuring the respiratory health of the patients.
- Medicines are given to alleviate symptoms like cough and fever. Overall monitoring must be done and oxygen therapy provided if necessary.
Other lungs related infections
- Acute respiratory distress syndrome (ARDS) is a serious lung condition that occurs when fluid builds up in the air sacs in the lungs. This makes it difficult to breathe. ARDS can be caused by a variety of factors, including pneumonia, sepsis, and trauma.
- Pulmonary alveolar microlithiasis (PAM) is a rare lung disease that is caused by deposits of calcium in the air sacs of the lungs. This can cause shortness of breath, coughing, and chest pain.
- Silicosis is a lung disease that is caused by inhaling silica dust. Silica dust is found in sand, stone, and other materials. Silicosis can cause shortness of breath, coughing, and chest pain.
Q1) What is Polysaccharide Conjugate Vaccine?
It is used for active immunization against invasive disease and pneumonia caused by “Streptococcus pneumonia” in infants. This is the first indigenously developed vaccine in the field of pneumonia. The vaccine has been developed by Serum Institute of India, Pune.
Source: What is white lung syndrome? Signs, symptoms and preventive measures of mystery pneumonia
Last updated on February, 2026
→ UPSC Notification 2026 is now out on the official website at upsconline.nic.in.
→ UPSC IFoS Notification 2026 is now out on the official website at upsconline.nic.in.
→ UPSC Calendar 2026 has been released.
→ UPSC Final Result 2025 is expected to be released in the first week of March 2026.
→ Check out the latest UPSC Syllabus 2026 here.
→ Join Vajiram & Ravi’s Interview Guidance Programme for expert help to crack your final UPSC stage.
→ UPSC Mains Result 2025 is now out.
→ UPSC Prelims 2026 will be conducted on 24th May, 2026 & UPSC Mains 2026 will be conducted on 21st August 2026.
→ The UPSC Selection Process is of 3 stages-Prelims, Mains and Interview.
→ Prepare effectively with Vajiram & Ravi’s UPSC Prelims Test Series 2026 featuring full-length mock tests, detailed solutions, and performance analysis.
→ Enroll in Vajiram & Ravi’s UPSC Mains Test Series 2026 for structured answer writing practice, expert evaluation, and exam-oriented feedback.
→ Join Vajiram & Ravi’s Best UPSC Mentorship Program for personalized guidance, strategy planning, and one-to-one support from experienced mentors.
→ Check UPSC Marksheet 2024 Here.
→ UPSC Toppers List 2024 is released now. Shakti Dubey is UPSC AIR 1 2024 Topper.
→ Also check Best UPSC Coaching in India







